同城头条  >  新闻  >  女子车祸后就医体内发现金属异物,竟是20年前结扎夹
女子车祸后就医体内发现金属异物,竟是20年前结扎夹
2023年11月05日 14:24   浏览:6   来源:仪陇家园

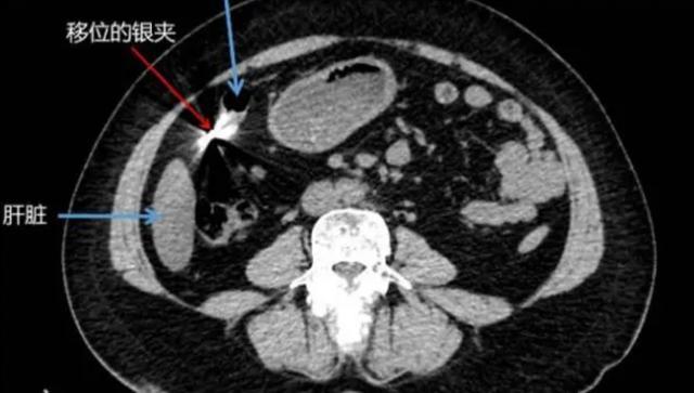
11月3日,东莞市的街头,李女士不慎与一辆小车相撞,随后被120急救车紧急送往医院。在医院进行的检查中,医生却发现了令人震惊的情况,李女士患有肠穿孔、腹膜炎以及感染性休克,她的病情相当严重。但令人不解的是,一名在车祸后遭受如此严重伤害的患者体内竟然隐藏了一枚0.8厘米长的金属异物,其质地坚硬,酷似金属结扎夹。

女子车祸后就医体内发现金属异物,竟是20年前结扎夹

在医生的进一步询问中,李女士回忆起了自己20年前曾进行过的结扎手术,这一信息成为医生推断金属异物来源的重要线索。医生认为,这枚金属异物很可能是手术中使用的金属结扎夹的残留物,脱落后滞留在她的体内。因此,医生提出了一个令人深思的建议,那就是那些接受金属结扎手术的患者应定期进行拍片检查,以确保金属结扎夹没有脱落或移位,从而降低患者潜在的健康风险。

这起新闻事件引发了广泛的关注,首先,这起事件让我们不得不再次反思医疗安全的问题。医疗安全一直是一个备受关注的话题,各种意外事件和医疗差错时有发生。无论是手术过程中的疏忽,还是设备问题,都可能导致患者的健康受到威胁。因此,医疗机构和从业人员需要时刻保持警觉,确保手术过程的安全性和患者的健康。

女子车祸后就医体内发现金属异物,竟是20年前结扎夹

其次,这一事件也引发了对手术后监测的关注。李女士的案例表明,在手术后的监测中,应该更加关注患者的健康状况,而不仅仅是手术创口的愈合情况。定期的影像检查,如X光片、CT扫描等,可以帮助及早发现潜在的问题,避免像这样的情况再次发生。患者应当积极配合医生的建议,接受必要的监测,以保护自己的健康。

医疗安全和手术后监测是不可忽视的。需要不断强调医疗机构和从业人员的责任,必须以最高标准来确保患者的安全和健康。同时,患者也要积极参与自己的医疗过程,按照医生的建议进行检查和监测,以降低患病的风险。

女子车祸后就医体内发现金属异物,竟是20年前结扎夹

女子车祸后就医体内发现金属异物的新闻事件引发了对医疗安全和手术后监测的深刻思考。这一事件提醒我们,无论是医疗机构还是患者本身,都有责任确保医疗过程的安全性和患者的健康。只有通过全社会的共同努力,才能够减少医疗事故的发生,保障每个患者的权益,确保他们在接受医疗治疗时能够得到最好的关怀和保护。

这一事件的警示作用将伴随我们,引导我们更好地理解和关注医疗安全的重要性。希望在未来,我们能够看到更多的改进和创新,以确保医疗安全成为每个人的生命权益的坚实保障。

转载:中•华•网

Keywords" 仪陇网、仪陇生活网、专注仪陇本地信息真实传递_仪陇网d-sj.cn/学法减分好助理答题神器一扫就出答案、学法减分好助理扫一扫知道答案app、学法减分好助理考试题库、学法减分好助理20道题模拟考试、学法减分好助理可以减多少分?、学法减分好助理拍照搜题 秒出答案免费、学法减分好助理拍照搜题、学法减分好助理拍照搜题 秒出答案、学法减分好助理可以申请几次?、学法减分好助理题库最新版、仪陇生活网、仪陇生活网招聘、仪陇招聘驾驶员、仪陇新政有哪些厂还在招工、仪陇人才网、仪陇在线、仪陇新政最新急招聘58同城、仪陇新政哪有做兼职的、仪陇县招聘信息最新招聘仪陇生活网招聘、仪陇招聘网最新招聘信息、仪陇生活网二手房、仪陇生活网最新消息、仪陇生活网门面转让、仪陇生活网住房出租最新消息、仪陇生活网发布了信息如何取消、四川仪陇生活网、仪陇人才招聘信息生活网、仪陇生活网、仪陇生活网招聘、仪陇招聘网最新招聘信息、仪陇生活网最新消息、仪陇生活网门面转让、仪陇生活网二手房、仪陇生活网住房出租最新消息、仪陇生活网最新招聘暑假工、四川仪陇生活网、仪陇手机生活网、仪陇招聘网最新招聘信息、仪陇招聘驾驶员、仪陇县租房信息、仪陇新政招聘网最新招聘、仪陇找工作、仪陇最新招聘、仪陇生活网招聘、仪陇人才网、仪陇招聘信息招聘仪陇招聘信息信息、仪陇招聘c1驾照、仪陇房价、四川仪陇县房价多少钱一平方米、仪陇县房价现在是多少、仪陇房产网、仪陇新政房价多少钱一平米、仪陇新政房价、仪陇房价为什么这么高、仪陇房价多少钱一平方、仪陇房价如何走、仪陇房价为什么这么高2019、仪陇新闻网、仪陇新闻网头条、仪陇新闻最新消息今天、仪陇新闻网今日新闻、仪陇新闻直播、仪陇新闻网丁强、仪陇新闻网直播视频、仪陇新闻视频、仪陇新闻综合频道直播、仪陇广告公司、仪陇广告语、仪陇金山广告、仪陇驾校、仪陇驾校报名费用、仪陇驾校C1多少费用、仪陇驾校88队哪个教练好、仪陇驾校在什么地方、仪陇驾校科目一考试、仪陇驾校学费、仪陇驾校科一早上笫一堂几点、仪陇驾校蒲、仪陇坤安驾校、仪陇工厂招聘、仪陇工厂有拿回家干的活吗?、仪陇新政工厂招聘、仪陇新政招聘信息工厂、仪陇家电维修、仪陇家电回收、仪陇家电清洗、仪陇电脑维修哪家好、仪陇电脑城在哪里、仪陇电脑销售在什么地方、仪陇电脑回收、仪陇电脑培训、仪陇电脑商家、壹家电脑维修、仪陇二手家具市场、仪陇家具城、仪陇家具厂、仪陇家具维修师傅、仪陇家具定制、仪陇家具厂网上程、仪陇家具市场、仪陇家具城在哪里、仪陇二手家具回收、南充仪陇二手家具市场、四川仪陇房产信息网、仪陇马鞍房价、广西桂林房价、仪陇一中录取分数线2021、仪陇翰林锦府、仪陇金城二手房的房价、仪陇房价为什么这么高、仪陇新政租房最新消息、仪陇县金城镇房价下跌、仪陇县招聘信息最新招聘、仪陇房产网、仪陇河西工业区招聘、仪陇门面出租、四川仪陇黑老大周超、仪陇县金城镇二手房最新消息、仪陇新政本地招聘启事、四川仪陇新镇最新招聘、仪陇县找工作生活网、如何自学电脑维修、娄星区关家垴附近电脑维修、恒达行家维修培训怎么样、珠海唐家电脑维修、台式机维修去哪家好、笔记本维修哪家好、仪陇电脑维修哪家好、电脑维修公司哪家好、秀洲区电脑维修哪家好、仪陇新政本地招聘启事、仪陇县金城镇二手房最新消息、仪陇招聘网最新招聘信息、仪陇新政有哪些厂还在招工、仪陇县河西工业区招工、南部人才网、四川仪陇黑老大周超、仪陇新政哪有做兼职的、四川仪陇新镇最新招聘、长津湖电影、长津湖电影时间多长、长津湖电影完整版免费观看、长津湖电影观后感、长津湖电影完整版免费观看HD、长津湖电影完整版免费观看2021、长津湖电影完整版免费观看网站、长津湖电影观后感500字、长津湖电影票多少钱一张、长津湖电影票购买、长津湖成影史历史片票房冠军、长津湖电影完整版免费观看、长津湖3个冰雕连仅2人生还、长津湖战役、长津湖2021免费完整版观看、长津湖票房破30亿、长津湖作文、长津湖观后感、长津湖手抄报、长津湖观后感10篇、刷手机下拉示选上海百首网络、刷手机下拉述约上海百首网络、刷手机下拉安选上海百首网络、刷手机下拉尚选上海百首网络、刷手机下拉安信上海百首网络、苹果手机下拉菜单、华为手机不能下拉、手机下拉功能在哪里设置、手机下拉设置在哪里设置、手机不能下拉通知栏、仪陇天气、仪陇房产网新楼盘、仪陇县楼盘房价最新消息、仪陇县、仪陇天气预报15天、仪陇县房价、仪陇招聘网最新招聘信息、仪陇属于四川哪个市、仪陇县金城镇、仪陇网、仪陇房产网新楼盘、仪陇县招聘网、仪陇网上在逃人员、仪陇网吧多久开业、仪陇网约车平台、仪陇网红地、仪陇网吧、仪陇网吧开门了吗、仪陇网络电视台、仪陇生活网、仪陇生活网招聘、仪陇生活网最新招聘信息、仪陇生活网最新消息、仪陇生活网门面转让、仪陇生活网二手房、仪陇生活网发布了信息如何取消、四川仪陇生活网、仪陇手机生活网、仪陇人才招聘信息生活网、仪陇丁家大院、仪陇森家环保、仪陇县房价、仪陇二手房、仪陇二手房出售信息、仪陇房产查询系统、仪陇房子出售、仪陇房子能不能买、仪陇房子贵、仪陇房子还会拆迁、仪陇房子出租、仪陇首座房子好不好、仪陇房产网新楼盘、仪陇房产网、仪陇房产备案查询、仪陇房产信息网、仪陇房产查询系统、仪陇房产管理局官网、仪陇房产交易网、仪陇房产价格、仪陇房产中介、仪陇房产局、仪陇河西工业区有些什么厂、仪陇县河西工业区招工、仪陇河西工业园2020招聘、仪陇河西电子厂招聘信息、仪陇河西招聘驾驶员、仪陇河西大华宝公学、仪陇河西工业区有哪些制衣厂、仪陇河西工业园、仪陇河西工业区电子厂、仪陇河西工业区灯泡厂、薇仪陇之家、薇仪陇生活网新政房价、仪陇新政房价、仪陇新政二手房出售、仪陇新政楼盘、仪陇在线、仪陇生活网、仪陇生活网是大家了解仪陇的资讯窗口,同时也是仪陇人的网上家园,为大家提供免费查询发布仪陇便民生活信息,是仪陇地区综合信息门户网站!

Copyright ©2021 仪陇家园同城网--版权所有   蜀ICP备2022002889号-1 川公网安备51132402000161号